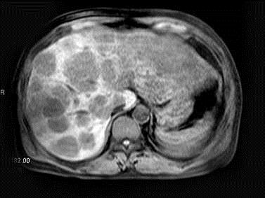
男,58岁,上腹部胀痛不适2月余。MRI见肝内多发病灶。最可能的诊断是()A.结节型肝癌B.肝转移瘤C.肝癌并肝内转移D.肝硬化并再生...

作者: rantiku 人气: - 评论: 0
问题 男,58岁,上腹部胀痛不适2月余。MRI见肝内多发病灶。最可能的诊断是()
选项 A.结节型肝癌 B.肝转移瘤 C.肝癌并肝内转移 D.肝硬化并再生结节 E.未见异常
答案 B
解析

猜你喜欢

发表评论
更多 网友评论0 条评论)
暂无评论

访问排行

Copyright © 2012-2014 恰考网 Inc. 保留所有权利。 Powered by tikuer.com

页面耗时0.0595秒, 内存占用1.03 MB, Cache:redis,访问数据库17次