男性,60岁,无痛性血尿半年余。膀胱镜检查,膀胱三角区可见一乳头状肿物,有蒂。活检报告为乳头状瘤。符合此诊断的病变是()A.可见鳞状细胞团B.可见...

作者: rantiku 人气: - 评论: 0
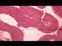
问题 男性,60岁,无痛性血尿半年余。膀胱镜检查,膀胱三角区可见一乳头状肿物,有蒂。活检报告为乳头状瘤。符合此诊断的病变是()
选项 A.可见鳞状细胞团 B.可见腺体 C.乳头被覆分化好的移行上皮 D.乳头被覆分化好的腺上皮 E.乳头被覆分化好的鳞状上皮
答案 C
解析

猜你喜欢

发表评论
更多 网友评论0 条评论)
暂无评论

访问排行

Copyright © 2012-2014 恰考网 Inc. 保留所有权利。 Powered by tikuer.com

页面耗时0.0277秒, 内存占用1.03 MB, Cache:redis,访问数据库18次