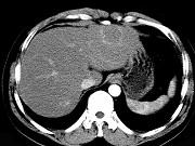
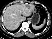
男54岁,B超体检示肝左叶强回声团块影,CT表现如图,最可能的诊断是()A.肝癌B.肝腺瘤C.肝母细胞瘤D.肝血管瘤E.肝脓肿

作者: rantiku 人气: - 评论: 0
问题 男54岁,B超体检示肝左叶强回声团块影,CT表现如图,最可能的诊断是()
选项 A.肝癌 B.肝腺瘤 C.肝母细胞瘤 D.肝血管瘤 E.肝脓肿
答案 D
解析

猜你喜欢

发表评论
更多 网友评论0 条评论)
暂无评论

访问排行

Copyright © 2012-2014 恰考网 Inc. 保留所有权利。 Powered by tikuer.com

页面耗时0.0453秒, 内存占用1.03 MB, Cache:redis,访问数据库20次