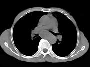
女性患者,67岁,进行性吞咽困难半年,X线及CT检查如图,应诊断为()A.食道癌B.食道憩室C.食道炎D.食道良性狭窄E....

作者: rantiku 人气: - 评论: 0
问题 女性患者,67岁,进行性吞咽困难半年,X线及CT检查如图,应诊断为()
选项 A.食道癌 B.食道憩室 C.食道炎 D.食道良性狭窄 E.食道静脉曲张
答案 A
解析

猜你喜欢

发表评论
更多 网友评论0 条评论)
暂无评论

访问排行

Copyright © 2012-2014 恰考网 Inc. 保留所有权利。 Powered by tikuer.com

页面耗时0.0404秒, 内存占用1.03 MB, Cache:redis,访问数据库19次