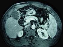
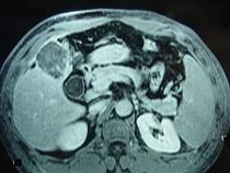
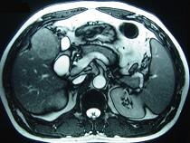
男性,60岁,右上腹胀不适,右肝区叩击痛,影像检查如图,最可能的诊断是()A.肝硬化B.肝硬化、外生性肝癌C.肝硬化、腹腔间质瘤 ...

作者: rantiku 人气: - 评论: 0
问题 男性,60岁,右上腹胀不适,右肝区叩击痛,影像检查如图,最可能的诊断是()
选项 A.肝硬化 B.肝硬化、外生性肝癌 C.肝硬化、腹腔间质瘤 D.肝硬化、膈下脓肿 E.肝硬化、结节性增生
答案 B
解析

猜你喜欢

发表评论
更多 网友评论0 条评论)
暂无评论

访问排行

Copyright © 2012-2014 恰考网 Inc. 保留所有权利。 Powered by tikuer.com

页面耗时0.0521秒, 内存占用1.03 MB, Cache:redis,访问数据库20次