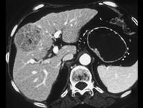
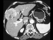
女,55岁,右上腹痛,消瘦乏力3个月,请结合图像诊断为()A.肝血管瘤B.肝腺瘤C.肝癌D.肝脓肿E.肝转移癌

作者: rantiku 人气: - 评论: 0
问题 女,55岁,右上腹痛,消瘦乏力3个月,请结合图像诊断为()
选项 A.肝血管瘤 B.肝腺瘤 C.肝癌 D.肝脓肿 E.肝转移癌
答案 C
解析

猜你喜欢

发表评论
更多 网友评论0 条评论)
暂无评论

访问排行

Copyright © 2012-2014 恰考网 Inc. 保留所有权利。 Powered by tikuer.com

页面耗时0.0368秒, 内存占用1.03 MB, Cache:redis,访问数据库17次