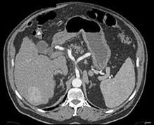
男,44岁,患乙肝多年,现腹痛,腹胀,AFP增高,消瘦、乏力,影像检查如图,最可能诊断是()A.肝血管瘤B.肝腺瘤C.肝转移瘤D.肝硬...

作者: rantiku 人气: - 评论: 0
问题 男,44岁,患乙肝多年,现腹痛,腹胀,AFP增高,消瘦、乏力,影像检查如图,最可能诊断是()
选项 A.肝血管瘤 B.肝腺瘤 C.肝转移瘤 D.肝硬变、肝癌 E.肝结节性增生
答案 D
解析

猜你喜欢

发表评论
更多 网友评论0 条评论)
暂无评论

访问排行

Copyright © 2012-2014 恰考网 Inc. 保留所有权利。 Powered by tikuer.com

页面耗时0.0431秒, 内存占用1.03 MB, Cache:redis,访问数据库19次