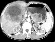
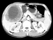
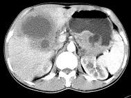
女,61岁,上腹部疼痛1个月,食欲减退,消瘦,CT所见如图,最可能的诊断是()A.肝脓肿B.肝转移瘤C.胃癌肝转移D.肝包虫病...

作者: rantiku 人气: - 评论: 0
问题 女,61岁,上腹部疼痛1个月,食欲减退,消瘦,CT所见如图,最可能的诊断是()
选项 A.肝脓肿 B.肝转移瘤 C.胃癌肝转移 D.肝包虫病 E.原发性肝癌
答案 C
解析

猜你喜欢

发表评论
更多 网友评论0 条评论)
暂无评论

访问排行

Copyright © 2012-2014 恰考网 Inc. 保留所有权利。 Powered by tikuer.com

页面耗时0.0354秒, 内存占用1.03 MB, Cache:redis,访问数据库19次