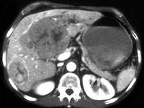
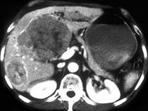
女,67岁,右上腹疼痛,消瘦四月余,CT检查如图,最可能的诊断是()A.肝血管瘤B.肝脓肿C.肝癌D.肝转移瘤E.肝囊肿

作者: rantiku 人气: - 评论: 0
问题 女,67岁,右上腹疼痛,消瘦四月余,CT检查如图,最可能的诊断是()
选项 A.肝血管瘤 B.肝脓肿 C.肝癌 D.肝转移瘤 E.肝囊肿
答案 C
解析

猜你喜欢

发表评论
更多 网友评论0 条评论)
暂无评论

访问排行

Copyright © 2012-2014 恰考网 Inc. 保留所有权利。 Powered by tikuer.com

页面耗时0.0479秒, 内存占用1.03 MB, Cache:redis,访问数据库20次