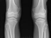
女,15岁,大腿远端可摸到肿块,无明显疼痛,请结合研提供图像,选择最佳答案()A.骨质增生B.软骨瘤C.骨肉瘤D.骨瘤E.骨软骨瘤

作者: rantiku 人气: - 评论: 0
问题 女,15岁,大腿远端可摸到肿块,无明显疼痛,请结合研提供图像,选择最佳答案()
选项 A.骨质增生 B.软骨瘤 C.骨肉瘤 D.骨瘤 E.骨软骨瘤
答案 E
解析

猜你喜欢

发表评论
更多 网友评论0 条评论)
暂无评论

访问排行

Copyright © 2012-2014 恰考网 Inc. 保留所有权利。 Powered by tikuer.com

页面耗时0.0371秒, 内存占用1.03 MB, Cache:redis,访问数据库19次