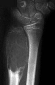
男性,17岁,近2年来感右前臂疼痛,肿胀,2周前由于疼痛加剧,查体右前臂压痛明显,皮肤稍显红肿,请结合所提供图像,选择最佳选项()A.骨囊肿 ...

作者: rantiku 人气: - 评论: 0
问题 男性,17岁,近2年来感右前臂疼痛,肿胀,2周前由于疼痛加剧,查体右前臂压痛明显,皮肤稍显红肿,请结合所提供图像,选择最佳选项()
选项 A.骨囊肿 B.巨骨细胞瘤 C.动脉瘤样骨囊肿 D.软骨瘤 E.骨血管球瘤
答案 C
解析

猜你喜欢

发表评论
更多 网友评论0 条评论)
暂无评论

访问排行

Copyright © 2012-2014 恰考网 Inc. 保留所有权利。 Powered by tikuer.com

页面耗时0.0339秒, 内存占用1.03 MB, Cache:redis,访问数据库19次