男性,66岁,排尿困难多年,现感会阴部疼痛3个多月,指肛检查触及前列腺表面不规则,行MRI检查,如图所示,你认为最可能的诊断是()A.前列腺增...

作者: rantiku 人气: - 评论: 0
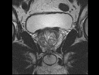
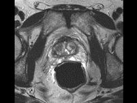
问题 男性,66岁,排尿困难多年,现感会阴部疼痛3个多月,指肛检查触及前列腺表面不规则,行MRI检查,如图所示,你认为最可能的诊断是()
选项 A.前列腺增生 B.正常前列腺 C.前列腺癌 D.前列腺钙化 E.前列腺出血
答案 C
解析

猜你喜欢

发表评论
更多 网友评论0 条评论)
暂无评论

访问排行

Copyright © 2012-2014 恰考网 Inc. 保留所有权利。 Powered by tikuer.com

页面耗时0.0579秒, 内存占用1.03 MB, Cache:redis,访问数据库13次