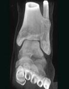
女,35岁,左侧外踝可扪及一硬结,有轻压痛,请结合影像学检查,选出最可能的诊断()A.骨瘤B.骨软骨瘤C.骨巨细胞瘤D.骨肉瘤E....

作者: rantiku 人气: - 评论: 0
问题 女,35岁,左侧外踝可扪及一硬结,有轻压痛,请结合影像学检查,选出最可能的诊断()
选项 A.骨瘤 B.骨软骨瘤 C.骨巨细胞瘤 D.骨肉瘤 E.骨样骨瘤
答案 B
解析

猜你喜欢

发表评论
更多 网友评论0 条评论)
暂无评论

访问排行

Copyright © 2012-2014 恰考网 Inc. 保留所有权利。 Powered by tikuer.com

页面耗时0.0519秒, 内存占用1.03 MB, Cache:redis,访问数据库20次