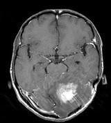
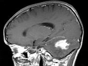
男,41岁,左枕部疼痛,右侧肢体乏力,并渐进性加重半个月,右侧肢体乏力,行走不稳,请根据所提供图像,选择最可能的诊断()A.(小脑)血管母...

作者: rantiku 人气: - 评论: 0
问题 男,41岁,左枕部疼痛,右侧肢体乏力,并渐进性加重半个月,右侧肢体乏力,行走不稳,请根据所提供图像,选择最可能的诊断()
选项 A.(小脑)血管母细胞瘤 B.(小脑)髓母细胞瘤 C.(小脑)炎性肉芽肿 D.(小脑)转移瘤 E.(小脑)星形胶质细胞瘤Ⅰ~Ⅱ级
答案 E
解析

猜你喜欢

发表评论
更多 网友评论0 条评论)
暂无评论

访问排行

Copyright © 2012-2014 恰考网 Inc. 保留所有权利。 Powered by tikuer.com

页面耗时0.0340秒, 内存占用1.03 MB, Cache:redis,访问数据库19次