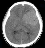
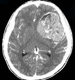
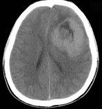
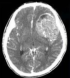
男,15岁,进行性头痛1年余,CT检查如图所示,最可能的诊断为()A.脑膜瘤B.脑血管畸形C.转移瘤D.淋巴瘤E.胶质母细胞瘤

作者: rantiku 人气: - 评论: 0
问题 男,15岁,进行性头痛1年余,CT检查如图所示,最可能的诊断为()
选项 A.脑膜瘤 B.脑血管畸形 C.转移瘤 D.淋巴瘤 E.胶质母细胞瘤
答案 E
解析

猜你喜欢

发表评论
更多 网友评论0 条评论)
暂无评论

访问排行

Copyright © 2012-2014 恰考网 Inc. 保留所有权利。 Powered by tikuer.com

页面耗时0.0374秒, 内存占用1.03 MB, Cache:redis,访问数据库20次