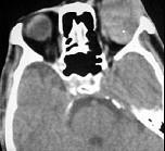
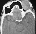
男性45岁,左眼疼痛伴视力下降1个多月,左眼明显外突,CT扫描如图所示,最可能诊断为()A.左侧眶内炎性假瘤B.眶内血管瘤C.眶内纤维...

作者: rantiku 人气: - 评论: 0
问题 男性45岁,左眼疼痛伴视力下降1个多月,左眼明显外突,CT扫描如图所示,最可能诊断为()
选项 A.左侧眶内炎性假瘤 B.眶内血管瘤 C.眶内纤维瘤 D.眶内结核 E.眶内转移瘤
答案 A
解析

猜你喜欢

发表评论
更多 网友评论0 条评论)
暂无评论

访问排行

Copyright © 2012-2014 恰考网 Inc. 保留所有权利。 Powered by tikuer.com

页面耗时0.0755秒, 内存占用1.03 MB, Cache:redis,访问数据库14次