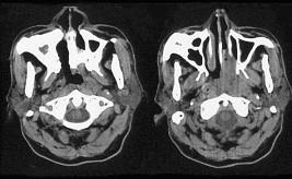
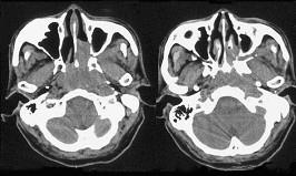
男,64岁,间断性流鼻血1年余,近1个月加重,CT如图所示,最可能的诊断为()A.鼻咽部腺样体增生B.鼻咽纤维血管瘤C.鼻咽部恶性淋巴瘤 ...

作者: rantiku 人气: - 评论: 0
问题 男,64岁,间断性流鼻血1年余,近1个月加重,CT如图所示,最可能的诊断为()
选项 A.鼻咽部腺样体增生 B.鼻咽纤维血管瘤 C.鼻咽部恶性淋巴瘤 D.鼻咽部淋巴组织增生 E.鼻咽癌
答案 E
解析

猜你喜欢

发表评论
更多 网友评论0 条评论)
暂无评论
错误啦!

错误信息

  • 消息: [程序异常] : MISCONF Redis is configured to save RDB snapshots, but it's currently unable to persist to disk. Commands that may modify the data set are disabled, because this instance is configured to report errors during writes if RDB snapshotting fails (stop-writes-on-bgsave-error option). Please check the Redis logs for details about the RDB error.
  • 文件: /twcms/kongphp/cache/cache_redis.class.php
  • 位置: 第 85 行
    <?php echo 'KongPHP, Road to Jane.'; ?>