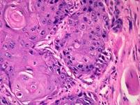
口腔癌最常见病理类型是()A.高分化鳞癌B.低分化鳞癌C.腺癌D.高分化鳞癌与小涎腺来源的癌E.未分化癌

作者: rantiku 人气: - 评论: 0
问题 口腔癌最常见病理类型是()
选项 A.高分化鳞癌 B.低分化鳞癌 C.腺癌 D.高分化鳞癌与小涎腺来源的癌 E.未分化癌
答案 A
解析

猜你喜欢

发表评论
更多 网友评论0 条评论)
暂无评论

访问排行

Copyright © 2012-2014 恰考网 Inc. 保留所有权利。 Powered by tikuer.com

页面耗时0.0446秒, 内存占用1.03 MB, Cache:redis,访问数据库20次