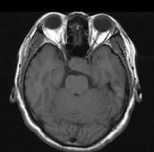
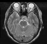
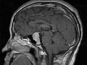
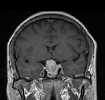
男,41岁,头昏伴头痛1年,请根据所提供图像,选择最可能的诊断()A.(鞍区)脑膜瘤B.(鞍区)颅咽管瘤C.(鞍区)生殖细胞瘤...

作者: rantiku 人气: - 评论: 0
问题 男,41岁,头昏伴头痛1年,请根据所提供图像,选择最可能的诊断()
选项 A.(鞍区)脑膜瘤 B.(鞍区)颅咽管瘤 C.(鞍区)生殖细胞瘤 D.(鞍区)转移瘤 E.(鞍区)垂体腺瘤
答案 E
解析

猜你喜欢

发表评论
更多 网友评论0 条评论)
暂无评论

访问排行

Copyright © 2012-2014 恰考网 Inc. 保留所有权利。 Powered by tikuer.com

页面耗时0.0857秒, 内存占用1.03 MB, Cache:redis,访问数据库20次