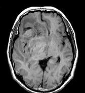
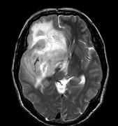
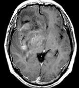
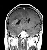
男,55岁,头胀感1年余,头痛3日,请根据所提供图像,选择最可能的诊断()A.(右额颞)病毒性脑炎B.(右额颞)星形细胞瘤C.(右...

作者: rantiku 人气: - 评论: 0
问题 男,55岁,头胀感1年余,头痛3日,请根据所提供图像,选择最可能的诊断()
选项 A.(右额颞)病毒性脑炎 B.(右额颞)星形细胞瘤 C.(右额颞)淋巴瘤 D.(右额颞)少突胶质细胞瘤 E.(右额颞)胶质母细胞瘤
答案 D
解析

猜你喜欢

发表评论
更多 网友评论0 条评论)
暂无评论

访问排行

Copyright © 2012-2014 恰考网 Inc. 保留所有权利。 Powered by tikuer.com

页面耗时0.0327秒, 内存占用1.03 MB, Cache:redis,访问数据库18次