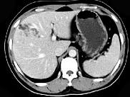
男,33岁,右上腹不适,CT所见如图,最可能诊断是()A.肝内胆管囊肿B.淋巴管瘤C.胆管细胞癌D.肝脓肿E.肝囊肿

作者: rantiku 人气: - 评论: 0
问题 男,33岁,右上腹不适,CT所见如图,最可能诊断是()
选项 A.肝内胆管囊肿 B.淋巴管瘤 C.胆管细胞癌 D.肝脓肿 E.肝囊肿
答案 B
解析

猜你喜欢

发表评论
更多 网友评论0 条评论)
暂无评论

访问排行

Copyright © 2012-2014 恰考网 Inc. 保留所有权利。 Powered by tikuer.com

页面耗时0.0642秒, 内存占用1.03 MB, Cache:redis,访问数据库19次