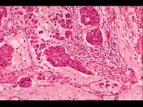
某大肠癌患者手术后,对其癌样检查发现,在镜下,在黏液湖中可见腺管状或乳头状排列的癌细胞。则判断其在组织学上为()A.管状腺癌B.未分化癌C.鳞...

作者: rantiku 人气: - 评论: 0
问题 某大肠癌患者手术后,对其癌样检查发现,在镜下,在黏液湖中可见腺管状或乳头状排列的癌细胞。则判断其在组织学上为()
选项 A.管状腺癌 B.未分化癌 C.鳞状细胞癌 D.黏液腺癌 E.印戒细胞癌
答案 D
解析

猜你喜欢

发表评论
更多 网友评论0 条评论)
暂无评论

访问排行

Copyright © 2012-2014 恰考网 Inc. 保留所有权利。 Powered by tikuer.com

页面耗时0.0415秒, 内存占用1.03 MB, Cache:redis,访问数据库20次