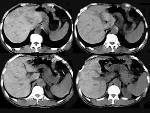
患者50岁,男性,中上腹饱胀、疼痛半年,消瘦,CT扫描如图,应诊断为()A.淋巴瘤B.胃腺瘤C.胃癌D.胃窦溃疡梗阻E.胃平滑肌瘤

作者: rantiku 人气: - 评论: 0
问题 患者50岁,男性,中上腹饱胀、疼痛半年,消瘦,CT扫描如图,应诊断为()
选项 A.淋巴瘤 B.胃腺瘤 C.胃癌 D.胃窦溃疡梗阻 E.胃平滑肌瘤
答案 C
解析

猜你喜欢

发表评论
更多 网友评论0 条评论)
暂无评论

访问排行

Copyright © 2012-2014 恰考网 Inc. 保留所有权利。 Powered by tikuer.com

页面耗时0.0390秒, 内存占用1.03 MB, Cache:redis,访问数据库19次