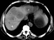
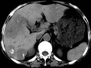
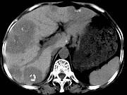
女,55岁,腹胀,肛门闭气,消瘦乏力,肝区疼痛,CT检查如图,最可能的诊断为()A.多发性肝脓肿B.肝癌肝内转移C.肝淋巴管瘤D....

作者: rantiku 人气: - 评论: 0
问题 女,55岁,腹胀,肛门闭气,消瘦乏力,肝区疼痛,CT检查如图,最可能的诊断为()
选项 A.多发性肝脓肿 B.肝癌肝内转移 C.肝淋巴管瘤 D.肝脏囊腺瘤 E.结肠癌肝转移
答案 E
解析

猜你喜欢

发表评论
更多 网友评论0 条评论)
暂无评论

访问排行

Copyright © 2012-2014 恰考网 Inc. 保留所有权利。 Powered by tikuer.com

页面耗时0.0341秒, 内存占用1.03 MB, Cache:redis,访问数据库17次