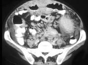
男,46岁,患者低热、乏力,时有腹痛,请结合图像,选择最可能诊断()A.横结肠癌B.横结肠淋巴瘤C.横结肠转移瘤D.假膜性肠炎E....

作者: rantiku 人气: - 评论: 0
问题 男,46岁,患者低热、乏力,时有腹痛,请结合图像,选择最可能诊断()
选项 A.横结肠癌 B.横结肠淋巴瘤 C.横结肠转移瘤 D.假膜性肠炎 E.溃疡性结肠炎
答案 B
解析

猜你喜欢

发表评论
更多 网友评论0 条评论)
暂无评论

访问排行

Copyright © 2012-2014 恰考网 Inc. 保留所有权利。 Powered by tikuer.com

页面耗时0.0402秒, 内存占用1.03 MB, Cache:redis,访问数据库14次