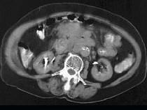
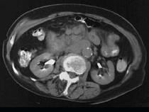
女,28岁,腹痛,恶心呕吐,大便潜血阳性,轻度腹胀,中腹部可扪及一不规则肿块,影像表现如图,最可能的诊断是()A.小肠腺癌B.小肠非霍奇金...

作者: rantiku 人气: - 评论: 0
问题 女,28岁,腹痛,恶心呕吐,大便潜血阳性,轻度腹胀,中腹部可扪及一不规则肿块,影像表现如图,最可能的诊断是()
选项 A.小肠腺癌 B.小肠非霍奇金淋巴瘤 C.小肠Crohn病 D.小肠结核 E.腹膜后淋巴结结核
答案 B
解析

猜你喜欢

发表评论
更多 网友评论0 条评论)
暂无评论

访问排行

Copyright © 2012-2014 恰考网 Inc. 保留所有权利。 Powered by tikuer.com

页面耗时0.0541秒, 内存占用1.03 MB, Cache:redis,访问数据库20次