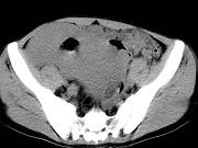
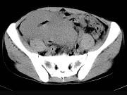
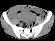
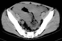
男,23岁,下腹部肿块伴持续性钝痛1月余,影像所见如图,最可能的诊断是()A.小肠淋巴瘤B.小肠间质瘤C.小肠癌D.小肠转移瘤...

作者: rantiku 人气: - 评论: 0
问题 男,23岁,下腹部肿块伴持续性钝痛1月余,影像所见如图,最可能的诊断是()
选项 A.小肠淋巴瘤 B.小肠间质瘤 C.小肠癌 D.小肠转移瘤 E.小肠结核
答案 A
解析

猜你喜欢

发表评论
更多 网友评论0 条评论)
暂无评论

访问排行

Copyright © 2012-2014 恰考网 Inc. 保留所有权利。 Powered by tikuer.com

页面耗时0.0342秒, 内存占用1.03 MB, Cache:redis,访问数据库20次