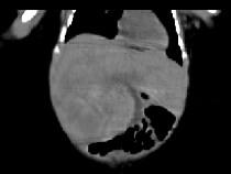
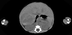
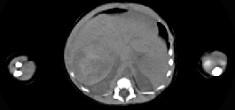
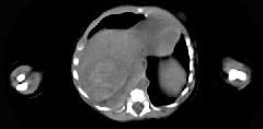
男,5天,上腹部膨隆,CT所见如图,最可能的诊断是()A.原发性肝癌B.肝母细胞瘤C.肝血管瘤D.肝脓肿E.肝转移瘤

作者: rantiku 人气: - 评论: 0
问题 男,5天,上腹部膨隆,CT所见如图,最可能的诊断是()
选项 A.原发性肝癌 B.肝母细胞瘤 C.肝血管瘤 D.肝脓肿 E.肝转移瘤
答案 B
解析

猜你喜欢

发表评论
更多 网友评论0 条评论)
暂无评论

访问排行

Copyright © 2012-2014 恰考网 Inc. 保留所有权利。 Powered by tikuer.com

页面耗时0.0585秒, 内存占用1.03 MB, Cache:redis,访问数据库20次