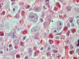
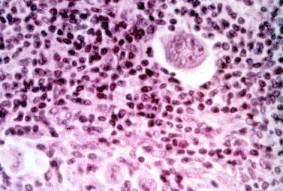
陷窝细胞是一种形态变异的()A.变异的淋巴细胞B.形态特殊的白血病细胞C.变异的R-S细胞D.变异的成纤维细胞E.多形核瘤样细胞

作者: rantiku 人气: - 评论: 0
问题 陷窝细胞是一种形态变异的()
选项 A.变异的淋巴细胞 B.形态特殊的白血病细胞 C.变异的R-S细胞 D.变异的成纤维细胞 E.多形核瘤样细胞
答案 C
解析

猜你喜欢

发表评论
更多 网友评论0 条评论)
暂无评论

访问排行

Copyright © 2012-2014 恰考网 Inc. 保留所有权利。 Powered by tikuer.com

页面耗时0.0470秒, 内存占用1.03 MB, Cache:redis,访问数据库20次