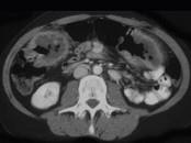
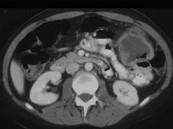
男,55岁,腹部胀痛不适1月余,CT检查如图,最可能的诊断是()A.结肠结核B.结肠淋巴瘤C.结肠转移瘤D.假膜性结肠炎E.横结肠癌

作者: rantiku 人气: - 评论: 0
问题 男,55岁,腹部胀痛不适1月余,CT检查如图,最可能的诊断是()
选项 A.结肠结核 B.结肠淋巴瘤 C.结肠转移瘤 D.假膜性结肠炎 E.横结肠癌
答案 E
解析

猜你喜欢

发表评论
更多 网友评论0 条评论)
暂无评论

访问排行

Copyright © 2012-2014 恰考网 Inc. 保留所有权利。 Powered by tikuer.com

页面耗时0.0436秒, 内存占用1.03 MB, Cache:redis,访问数据库20次