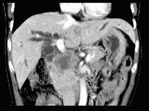
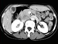
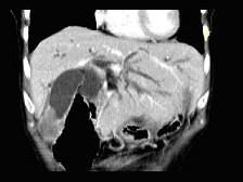
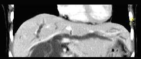
患者,男,51岁,右上腹隐痛两月余,CT扫描如图,最可能的诊断是()A.胆囊癌伴肝门胰头周围转移B.胆囊息肉C.胆囊黄色肉芽肿...

作者: rantiku 人气: - 评论: 0
问题 患者,男,51岁,右上腹隐痛两月余,CT扫描如图,最可能的诊断是()
选项 A.胆囊癌伴肝门胰头周围转移 B.胆囊息肉 C.胆囊黄色肉芽肿 D.慢性胰腺炎并胆囊息肉 E.胆囊腺瘤及慢性胰腺炎
答案 A
解析

猜你喜欢

发表评论
更多 网友评论0 条评论)
暂无评论

访问排行

Copyright © 2012-2014 恰考网 Inc. 保留所有权利。 Powered by tikuer.com

页面耗时0.0355秒, 内存占用1.03 MB, Cache:redis,访问数据库19次