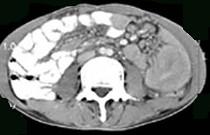
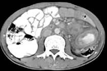
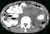
女,39岁,低热、乏力,腹胀,下腹触及明显肿块,体重减轻,影像检查如图,最佳的诊断是()A.小肠结核B.小肠Crohn病C.小肠淋...

作者: rantiku 人气: - 评论: 0
问题 女,39岁,低热、乏力,腹胀,下腹触及明显肿块,体重减轻,影像检查如图,最佳的诊断是()
选项 A.小肠结核 B.小肠Crohn病 C.小肠淋巴瘤 D.小肠癌 E.小肠重复畸形
答案 C
解析
发表评论
更多 网友评论0 条评论)
暂无评论

访问排行

Copyright © 2012-2014 恰考网 Inc. 保留所有权利。 Powered by tikuer.com

页面耗时0.0369秒, 内存占用1.03 MB, Cache:redis,访问数据库19次