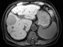
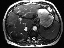
男40岁肝区疼痛,消瘦乏力,腹部包块,AFP阳性,MR检查如图,最佳的诊断是哪一项()A.肝脓肿B.肝血管瘤C.肝腺瘤D.肝肉...

作者: rantiku 人气: - 评论: 0
问题 男40岁肝区疼痛,消瘦乏力,腹部包块,AFP阳性,MR检查如图,最佳的诊断是哪一项()
选项 A.肝脓肿 B.肝血管瘤 C.肝腺瘤 D.肝肉芽肿 E.肝癌
答案 E
解析

猜你喜欢

发表评论
更多 网友评论0 条评论)
暂无评论

访问排行

Copyright © 2012-2014 恰考网 Inc. 保留所有权利。 Powered by tikuer.com

页面耗时0.0422秒, 内存占用1.03 MB, Cache:redis,访问数据库19次