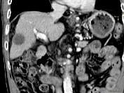
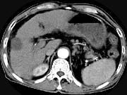
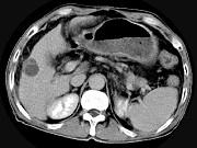
男,63岁,肝区疼痛不适1个月,皮肤巩膜无黄染,AFP高于正常,CT所见如图,最可能的诊断是()A.肝血管瘤B.肝转移瘤C.阿米巴肝脓...

作者: rantiku 人气: - 评论: 0
问题 男,63岁,肝区疼痛不适1个月,皮肤巩膜无黄染,AFP高于正常,CT所见如图,最可能的诊断是()
选项 A.肝血管瘤 B.肝转移瘤 C.阿米巴肝脓肿 D.不典型肝癌 E.胆管细胞癌
答案 D
解析

猜你喜欢

发表评论
更多 网友评论0 条评论)
暂无评论

访问排行

Copyright © 2012-2014 恰考网 Inc. 保留所有权利。 Powered by tikuer.com

页面耗时0.0499秒, 内存占用1.03 MB, Cache:redis,访问数据库20次