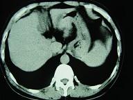
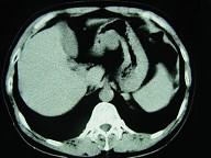
男,52岁,中上腹痛,影像检查如图,最可能的诊断是()A.慢肥厚性胃炎B.胃癌C.胃溃疡D.胃平滑肌瘤E.胃平滑肌肉瘤

作者: rantiku 人气: - 评论: 0
问题 男,52岁,中上腹痛,影像检查如图,最可能的诊断是()
选项 A.慢肥厚性胃炎 B.胃癌 C.胃溃疡 D.胃平滑肌瘤 E.胃平滑肌肉瘤
答案 D
解析

猜你喜欢

发表评论
更多 网友评论0 条评论)
暂无评论

访问排行

Copyright © 2012-2014 恰考网 Inc. 保留所有权利。 Powered by tikuer.com

页面耗时0.0368秒, 内存占用1.03 MB, Cache:redis,访问数据库13次