男,43岁,上腹胀痛2个月,频繁呕吐,呕吐物为黄绿色,影像所见如图,可能的诊断为()A.十二指肠溃疡B.十二指肠结核C.十二指肠中...

作者: rantiku 人气: - 评论: 0
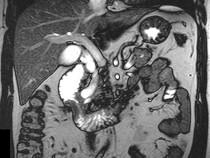
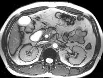
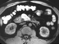
问题 男,43岁,上腹胀痛2个月,频繁呕吐,呕吐物为黄绿色,影像所见如图,可能的诊断为()
选项 A.十二指肠溃疡 B.十二指肠结核 C.十二指肠中分化腺癌 D.十二指肠克罗恩病 E.十二指肠淋巴瘤
答案 C
解析

猜你喜欢

发表评论
更多 网友评论0 条评论)
暂无评论

访问排行

Copyright © 2012-2014 恰考网 Inc. 保留所有权利。 Powered by tikuer.com

页面耗时0.0428秒, 内存占用1.03 MB, Cache:redis,访问数据库20次