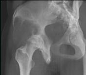
女,31岁,左侧髋部疼痛1月余,有压痛,压之有捏乒乓球感,请结合影像学检查,选出最可能的诊断()A.骨囊肿B.骨巨细胞瘤C.动脉瘤样骨囊肿...

作者: rantiku 人气: - 评论: 0
问题 女,31岁,左侧髋部疼痛1月余,有压痛,压之有捏乒乓球感,请结合影像学检查,选出最可能的诊断()
选项 A.骨囊肿 B.骨巨细胞瘤 C.动脉瘤样骨囊肿 D.成软骨细胞瘤 E.骨结核
答案 B
解析

猜你喜欢

发表评论
更多 网友评论0 条评论)
暂无评论

访问排行

Copyright © 2012-2014 恰考网 Inc. 保留所有权利。 Powered by tikuer.com

页面耗时0.0796秒, 内存占用1.03 MB, Cache:redis,访问数据库19次