女,56岁,上腹部钝痛、腹胀不适1月余,纳差、消瘦,影像检查如图,最可能的诊断是()A.胃幽门管溃疡B.胃腺癌并幽门狭窄C.胃淋巴...

作者: rantiku 人气: - 评论: 0
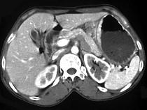
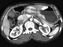
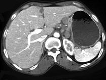
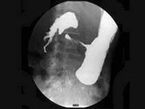
问题 女,56岁,上腹部钝痛、腹胀不适1月余,纳差、消瘦,影像检查如图,最可能的诊断是()
选项 A.胃幽门管溃疡 B.胃腺癌并幽门狭窄 C.胃淋巴瘤 D.胃间质瘤 E.胃恶性间质瘤
答案 B
解析
发表评论
更多 网友评论0 条评论)
暂无评论

访问排行

Copyright © 2012-2014 恰考网 Inc. 保留所有权利。 Powered by tikuer.com

页面耗时0.0338秒, 内存占用1.03 MB, Cache:redis,访问数据库18次