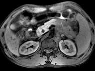
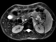
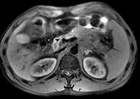
男45岁、腹部胀痛不适、胃纳减退、体重减轻、中腹部可触肿块,影像检查如图,应诊断为()A.急性胰腺炎B.慢性胰腺炎C.胰腺体尾部癌...

作者: rantiku 人气: - 评论: 0
问题 男45岁、腹部胀痛不适、胃纳减退、体重减轻、中腹部可触肿块,影像检查如图,应诊断为()
选项 A.急性胰腺炎 B.慢性胰腺炎 C.胰腺体尾部癌 D.胰岛细胞瘤 E.腹膜后淋巴结结核
答案 C
解析

猜你喜欢

发表评论
更多 网友评论0 条评论)
暂无评论

访问排行

Copyright © 2012-2014 恰考网 Inc. 保留所有权利。 Powered by tikuer.com

页面耗时0.0352秒, 内存占用1.03 MB, Cache:redis,访问数据库20次