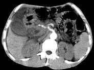
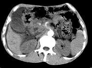
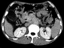
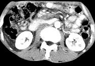
女,50岁,中上腹疼痛,消瘦乏力,影像检查如下图,最佳的诊断是()A.慢性胰腺炎B.急性胰腺炎C.胰腺癌并腹膜后淋巴结转移D....

作者: rantiku 人气: - 评论: 0
问题 女,50岁,中上腹疼痛,消瘦乏力,影像检查如下图,最佳的诊断是()
选项 A.慢性胰腺炎 B.急性胰腺炎 C.胰腺癌并腹膜后淋巴结转移 D.胰岛素瘤 E.腹膜后淋巴瘤
答案 C
解析

猜你喜欢

发表评论
更多 网友评论0 条评论)
暂无评论

访问排行

Copyright © 2012-2014 恰考网 Inc. 保留所有权利。 Powered by tikuer.com

页面耗时0.0497秒, 内存占用1.03 MB, Cache:redis,访问数据库20次