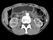
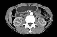
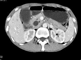
男,48岁,进行性黄疸,发热,腹胀,影像检查如图,最佳的诊断是()A.胆总管囊肿B.胆总管结石C.胆总管癌D.十二指肠乳头癌 ...

作者: rantiku 人气: - 评论: 0
问题 男,48岁,进行性黄疸,发热,腹胀,影像检查如图,最佳的诊断是()
选项 A.胆总管囊肿 B.胆总管结石 C.胆总管癌 D.十二指肠乳头癌 E.胰头癌
答案 D
解析

猜你喜欢

发表评论
更多 网友评论0 条评论)
暂无评论

访问排行

Copyright © 2012-2014 恰考网 Inc. 保留所有权利。 Powered by tikuer.com

页面耗时0.0445秒, 内存占用1.03 MB, Cache:redis,访问数据库18次