女,35岁,右上腹痛1月,黄疸进行性加重,AFP阴性,消瘦乏力,影像检查如图,最可能的诊断为()A.肝转移癌B.胆管癌C.局灶性脂...

作者: rantiku 人气: - 评论: 0
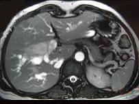
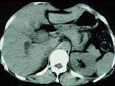
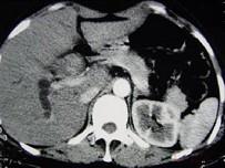
问题 女,35岁,右上腹痛1月,黄疸进行性加重,AFP阴性,消瘦乏力,影像检查如图,最可能的诊断为()
选项 A.肝转移癌 B.胆管癌 C.局灶性脂肪肝 D.原发性肝癌 E.肝血管瘤
答案 B
解析

猜你喜欢

发表评论
更多 网友评论0 条评论)
暂无评论

访问排行

Copyright © 2012-2014 恰考网 Inc. 保留所有权利。 Powered by tikuer.com

页面耗时0.0619秒, 内存占用1.03 MB, Cache:redis,访问数据库18次