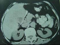
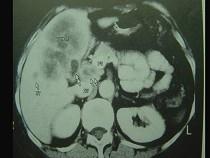
患者,女,51岁,右上腹隐痛1月余,CT扫描如图,最可能的诊断是()A.胆囊癌(肿块型)侵犯肝脏B.肝癌侵及胆囊C.肝转移瘤D.胆...

作者: rantiku 人气: - 评论: 0
问题 患者,女,51岁,右上腹隐痛1月余,CT扫描如图,最可能的诊断是()
选项 A.胆囊癌(肿块型)侵犯肝脏 B.肝癌侵及胆囊 C.肝转移瘤 D.胆囊周围肝脓肿 E.肝血管瘤
答案 A
解析

猜你喜欢

发表评论
更多 网友评论0 条评论)
暂无评论

访问排行

Copyright © 2012-2014 恰考网 Inc. 保留所有权利。 Powered by tikuer.com

页面耗时0.0465秒, 内存占用1.03 MB, Cache:redis,访问数据库19次