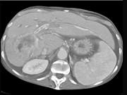
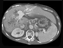
男,50岁,右上腹痛,进行性黄疸,无腹部包块,AFP阴性,影像检查如图,最可能的诊断是()A.肝细胞肝癌B.胆管癌C.肝血管瘤D.肝腺...

作者: rantiku 人气: - 评论: 0
问题 男,50岁,右上腹痛,进行性黄疸,无腹部包块,AFP阴性,影像检查如图,最可能的诊断是()
选项 A.肝细胞肝癌 B.胆管癌 C.肝血管瘤 D.肝腺瘤 E.肝转移瘤
答案 B
解析

猜你喜欢

发表评论
更多 网友评论0 条评论)
暂无评论

访问排行

Copyright © 2012-2014 恰考网 Inc. 保留所有权利。 Powered by tikuer.com

页面耗时0.0403秒, 内存占用1.03 MB, Cache:redis,访问数据库18次