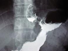
男,56岁,胸骨后不适3月,吞咽时异物感,X线检查如图,最可能的诊断是()A.食道癌B.食道腺瘤C.贲门腺癌D.胃癌E.食道下段溃疡

作者: rantiku 人气: - 评论: 0
问题 男,56岁,胸骨后不适3月,吞咽时异物感,X线检查如图,最可能的诊断是()
选项 A.食道癌 B.食道腺瘤 C.贲门腺癌 D.胃癌 E.食道下段溃疡
答案 C
解析

猜你喜欢

发表评论
更多 网友评论0 条评论)
暂无评论

访问排行

Copyright © 2012-2014 恰考网 Inc. 保留所有权利。 Powered by tikuer.com

页面耗时0.0340秒, 内存占用1.03 MB, Cache:redis,访问数据库19次