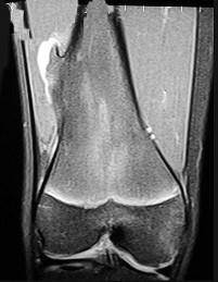
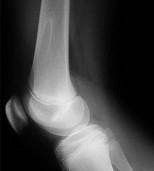
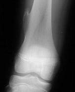
男,13岁,运动后膝痛,请结合影像图像,选择最可能的诊断()A.正常影像B.动脉瘤样骨囊肿C.骨软骨瘤D.成骨细胞瘤E.骨样骨瘤

作者: rantiku 人气: - 评论: 0
问题 男,13岁,运动后膝痛,请结合影像图像,选择最可能的诊断()
选项 A.正常影像 B.动脉瘤样骨囊肿 C.骨软骨瘤 D.成骨细胞瘤 E.骨样骨瘤
答案 C
解析

猜你喜欢

发表评论
更多 网友评论0 条评论)
暂无评论

访问排行

Copyright © 2012-2014 恰考网 Inc. 保留所有权利。 Powered by tikuer.com

页面耗时0.0385秒, 内存占用1.03 MB, Cache:redis,访问数据库18次