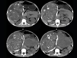
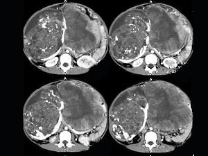
女,43岁,发现盆腔包块3年,排尿困难6日,影像检查如图,最可能的诊断是()A.腹腔脂肪肉瘤B.腹腔恶性间质瘤C.腹腔畸胎瘤D.腹腔畸...

作者: rantiku 人气: - 评论: 0
问题 女,43岁,发现盆腔包块3年,排尿困难6日,影像检查如图,最可能的诊断是()
选项 A.腹腔脂肪肉瘤 B.腹腔恶性间质瘤 C.腹腔畸胎瘤 D.腹腔畸胎瘤伴卵巢内胚窦瘤 E.卵巢内胚窦瘤
答案 D
解析

猜你喜欢

发表评论
更多 网友评论0 条评论)
暂无评论

访问排行

Copyright © 2012-2014 恰考网 Inc. 保留所有权利。 Powered by tikuer.com

页面耗时0.0330秒, 内存占用1.03 MB, Cache:redis,访问数据库13次