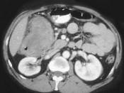
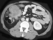
男,42岁,左下腹可触及一长条形肿块,结合图像,最可能的诊断是()A.结肠间质瘤B.结肠转移瘤C.结肠淋巴瘤D.假膜性肠炎E.结肠癌

作者: rantiku 人气: - 评论: 0
问题 男,42岁,左下腹可触及一长条形肿块,结合图像,最可能的诊断是()
选项 A.结肠间质瘤 B.结肠转移瘤 C.结肠淋巴瘤 D.假膜性肠炎 E.结肠癌
答案 C
解析

猜你喜欢

发表评论
更多 网友评论0 条评论)
暂无评论

访问排行

Copyright © 2012-2014 恰考网 Inc. 保留所有权利。 Powered by tikuer.com

页面耗时0.0452秒, 内存占用1.03 MB, Cache:redis,访问数据库20次