男,54岁、1年前行胃癌切除术,现消瘦乏力、左锁骨上淋巴结肿大,影像检查如图,最可能的诊断是()A.淋巴瘤B.腹膜后淋巴结转移C....

作者: rantiku 人气: - 评论: 0
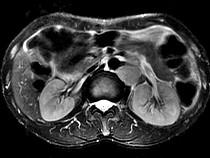
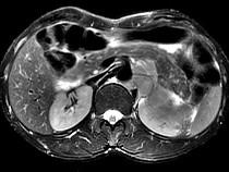
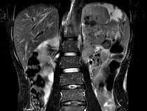
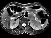
问题 男,54岁、1年前行胃癌切除术,现消瘦乏力、左锁骨上淋巴结肿大,影像检查如图,最可能的诊断是()
选项 A.淋巴瘤 B.腹膜后淋巴结转移 C.肾上腺腺瘤 D.肾上腺增生 E.腹膜后纤维肉瘤
答案 B
解析

猜你喜欢

发表评论
更多 网友评论0 条评论)
暂无评论

访问排行

Copyright © 2012-2014 恰考网 Inc. 保留所有权利。 Powered by tikuer.com

页面耗时0.0443秒, 内存占用1.03 MB, Cache:redis,访问数据库19次