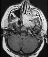
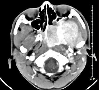
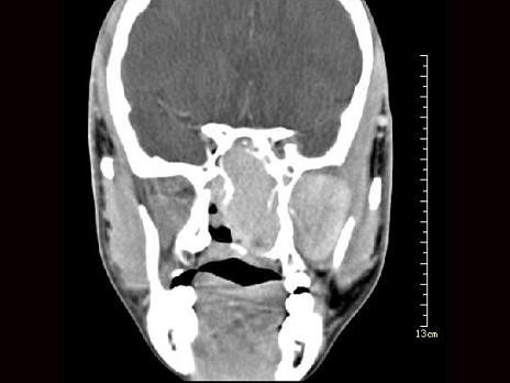
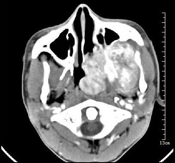
男性,19岁,左侧鼻腔反复出血1年余,CT、MRI扫描如图所示,请选择最可能诊断()A.鼻息肉B.鼻咽腔脓肿C.鼻咽部青年纤维血管...

作者: rantiku 人气: - 评论: 0
问题 男性,19岁,左侧鼻腔反复出血1年余,CT、MRI扫描如图所示,请选择最可能诊断()
选项 A.鼻息肉 B.鼻咽腔脓肿 C.鼻咽部青年纤维血管瘤 D.鼻咽癌 E.鼻咽部淋巴瘤
答案 C
解析

猜你喜欢

发表评论
更多 网友评论0 条评论)
暂无评论

访问排行

Copyright © 2012-2014 恰考网 Inc. 保留所有权利。 Powered by tikuer.com

页面耗时0.0527秒, 内存占用1.03 MB, Cache:redis,访问数据库18次